
加納麻紀
コーネル大学、マウントサイナイ医科大学卒業。マウントサイナイ医療センター提携病院の東京海上記念診療所ハーツデール診療所内科・小児科専門医。米国日本人医師会(JMSA)副会長。日系コミュ二ティー支援委員会委員長。2003年、NPOの育児支援グループ「すくすく会」を創設。
—————————————————————————-
体力が低下している場合に起きる呼吸器系疾患の1つとして肺炎がある。肺炎は主に肺炎球菌、インフルエンザ菌(インフルエンザウイルスとは別のもの)、黄色ブドウ球菌、マイコプラズマ菌が呼吸器に感染して発症するものだが、肺炎の中でも最も一般的な症例がマイコプラズマ肺炎といわれている。シリーズ子どもの病気の第3回は、免疫機能が未熟な子どもに多いマイコプラズマ肺炎について、東京海上記念診療所ハーツデール診療所の内科・小児科で治療に当たる加納麻紀医師に聞く。
Q どのようにして感染するのでしょうか?
A マイコプラズマ菌は通常2つの経路から感染します。1つは保菌者のせきやくしゃみを吸い込む飛沫感染、もう1つは鼻水や痰が肌や粘膜に触れる接触感染です。潜伏期間は約2週間から3週間で、発症は秋と冬に多いのですが、サマーキャンプで大量感染したとの報告もあります。
Q 子どもに感染した場合、どのような症状が出ますか?
A マイコプラズマ肺炎は他の細菌性肺炎と比べて症状が軽いことが多く、入院せずに治療できるため「歩く肺炎」とも呼ばれています。しかし、さまざまな合併症を起こし、重篤な経過をみる場合もあります。
症状の出方は穏やかで、徐々に進行します。頭痛や微熱、なんとなく気分がすぐれない状態(倦怠感)から始まり、その後3日から5日でせきが出始め、喉の痛みを訴えることもあります。合併症としては耳の痛み、中耳炎、胸膜炎、心筋炎、髄膜炎、出血性の水疱、かゆみを伴う発疹、胃痛、嘔吐、下痢、関節痛や筋肉痛などがあり、中には入院が必要になるものもあります。
せきは「コホコホ」といった空ぜきから痰を伴う湿ったものまでさまざまで、小児ぜん息でもないのに喘鳴(ぜんめい=呼吸するときのぜいぜいした音)がある場合もあります。

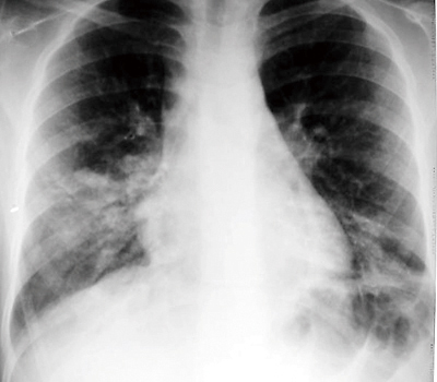
マイコプラズマ菌に感染した肺
Q 特徴となる症状はありますか?
A マイコプラズマ肺炎の特徴は長引くせきです。発熱や頭痛が治った後も、せきは数週間続きます。また初期症状はかぜと非常によく似ているため、ウイルス性のかぜと診断されることもあります。
Q 症状を聞くと、まさにかぜといった感じですね。
A そうですね。確かにマイコプラズマ菌は、咽頭痛(6〜60%)や鼻水(2〜40%)、せき(75〜100%)や発熱など、一般的なかぜの症状を引き起こすことでも知られています。マイコプラズマ菌は肺炎の原因にもなりますが、実際は菌に感染した人がマイコプラズマ肺炎を発症する割合は3〜10%にすぎません。
Q マイコプラズマ肺炎かどうかは、どのように診断するのですか?
A 子どものせきが長引いたり喘鳴があったりしてマイコプラズマ肺炎が疑われる場合は、胸部のレントゲン写真を撮り、血液検査で炎症度や抗体を調べ、医師の臨床的印象に基づいて診断します。マイコプラズマ菌の遺伝子を検出するPCR法を使った検査や、鼻からの分泌物や痰からマイコプラズマ菌を分離する検査もあります。
Q 治療法は?
A 抗生物質で治療します。使用される抗生物質の一般的なタイプはアジスロマイシン(Azithromycin)と呼ばれ、商品名は「ジスロマック」(Zithromax)です。また、ビキシンまたはドキシサイクリンなどのテトラサイクリン系抗生物質も使われています。形態は錠剤や液体です。抗生物質を服用する際に最も大切なことは、医師の指示を忠実に守ることです。たとえ服用期間中に症状が改善しても、定められた日まで飲みきってください。
Q 治療を開始してからどれくらいで効果が出てきますか?
A ほとんどの子どもは、抗生物質の投与を開始してから2日から3日後に快方に向かいます。ただし治療後、数週間から数カ月間、疲れを感じたり、せきが続いたりすることがあります。運動中に息苦しさを感じて、通常通りに呼吸できるようになるまで数カ月かかる場合もあります。
また、軽度のマイコプラズマ肺炎の場合は、一般的なウイルス性のかぜであると診断され、抗生物質を処方されないことがあります。逆にいえば、マイコプラズマ肺炎が非常に軽度の場合、服用せずとも回復するので抗生物質は必要ありません。
Q 治療中はどんなことに気をつければいいですか?
A 水やお茶、スープなどで十分に水分補給を心がけることと、しっかり体を休ませることです。解熱や喉の痛み、頭痛の緩和には、アセトアミノフェン(商品名「タイレノール」など)またはイブプロフェン(商品名「アドビル」「モトリン」など)を服用してもかまいません。薬の正しい用量は子どもの年齢や体重によって異なりますので、かかりつけの医師に聞いてください。
また、18歳未満の子どもにはアスピリンおよびアスピリンを含む医薬品を飲ませないでください。子どもがアスピリンを飲んだ場合、ライ症候群(※)と呼ばれる重大な疾患を引き起こす可能性があります。
※脳の炎症や腫れ、肝機能低下または不全を引き起こし、重篤な場合は死に至る。ライ症候群に対する特別な治療法はない。

RECOMMENDED
-

客室乗務員が教える「本当に快適な座席」とは? プロが選ぶベストシートの理由
-

NYの「1日の生活費」が桁違い、普通に過ごして7万円…ローカル住人が検証
-

ベテラン客室乗務員が教える「機内での迷惑行為」、食事サービス中のヘッドホンにも注意?
-

パスポートは必ず手元に、飛行機の旅で「意外と多い落とし穴」をチェック
-

日本帰省マストバイ!NY在住者が選んだ「食品土産まとめ」、ご当地&調味料が人気
-

機内配布のブランケットは不衛生かも…キレイなものとの「見分け方」は? 客室乗務員はマイ毛布持参をおすすめ
-

白づくめの4000人がNYに集結、世界を席巻する「謎のピクニック」を知ってる?
-

長距離フライト、いつトイレに行くのがベスト? 客室乗務員がすすめる最適なタイミング
-

機内Wi-Fiが最も速い航空会社はどこ? 1位は「ハワイアン航空」、JALとANAは?
-

「安い日本」はもう終わり? 外国人観光客に迫る値上げラッシュ、テーマパークや富士山まで








