RELATED POST
一度の来院で白い歯を実現
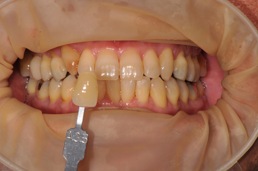
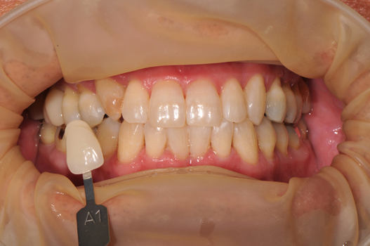
一度の来院、しかもたった1時間で歯をブリーチング(漂白)できる、全く新しいホワイトニング法「ZOOM」を導入! 1月31日まで、通常500ドルが399ドルになる特別キャンペーンを実施中! きれいな歯で、自信を持って新年を迎えよう。
# 歯 #ホワイトニング #ブリーチング #キレイ
エリア: WC, スカースデール, LI, ウエストベリー


Before

After
・ウエストチェスター店
2 Overhill Rd., Suite 110, Scarsdale 914-723-3511
・ロングアイランド店
265 Post Ave., Suite 110 Westbury 516-242-9344
営業時間
ウエストチェスター店 月・金・土: 9am-6pm
ロングアイランド店 火: 10:30am-5pm、木: 11am-6pm
12月23日から1月3日まで休み
RECOMMENDED
-

客室乗務員が教える「本当に快適な座席」とは? プロが選ぶベストシートの理由
-

NYの「1日の生活費」が桁違い、普通に過ごして7万円…ローカル住人が検証
-

ベテラン客室乗務員が教える「機内での迷惑行為」、食事サービス中のヘッドホンにも注意?
-

パスポートは必ず手元に、飛行機の旅で「意外と多い落とし穴」をチェック
-

日本帰省マストバイ!NY在住者が選んだ「食品土産まとめ」、ご当地&調味料が人気
-

機内配布のブランケットは不衛生かも…キレイなものとの「見分け方」は? 客室乗務員はマイ毛布持参をおすすめ
-

白づくめの4000人がNYに集結、世界を席巻する「謎のピクニック」を知ってる?
-

長距離フライト、いつトイレに行くのがベスト? 客室乗務員がすすめる最適なタイミング
-

機内Wi-Fiが最も速い航空会社はどこ? 1位は「ハワイアン航空」、JALとANAは?
-

「安い日本」はもう終わり? 外国人観光客に迫る値上げラッシュ、テーマパークや富士山まで








